GUATR TİROİD BEZİNİN BÜYÜMESİDİR VE TRAKEA BASISI İLE NEFES DARLIĞI OLUŞTURMASI MUHTEMELDİR
Bu makalede ailesinde astım ve guatr öyküsü olan 19 yaşında genç kadın hastanın göğüs hastalıkları polikliniğine nefes darlığı, stridor ve kuru öksürük şikayetleriyle başvurması ile yapılan testler sonucu toraksa uzanım gösteren substernal guatr tespit edilen ve astım benzeri semptomları inhale kortikosteroidle azalan olguyu sunmayı amaçladık.
GUATRIN TORAKSA BASISI İLE NEFES DARLIĞI OLUŞTURABİLECEĞİ NE ZAMAN FARK EDİLMİŞTİR?
Substernal/İntratorasik Guatr terimi ilk defa 1749 yılında Albertus Haller[1] tarafından Disputationes anatomicae selectae isimli kitapta kullanılmıştır, Allo ve Tompson[2] toraks üst girişini aşağı doğru geçen her guatrı substernal guatr olarak tanımlamıştır. Substernal guatr büyük boyutlara ulaştığında çeşitli bası belirtilerine neden olabilir; trakea basısı nedeniyle solunum sıkıntısı, özefagus basısı nedeniyle yutma güçlüğü ve vasküler yapılara bası nedeniyle venöz dolgunluk bulguları ortaya çıkarabilir. Tiroid içi kanama veya kistik dejenerasyona sekonder ani büyüme sonucu solunum yetmezliği ortaya çıkararak nadir de olsa hayatı tehdit edici olabilir[3].
Astım akciğer içi hava yollarında daralmaya neden olan ve alevlenmeler ile seyreden kronik bir akciğer hastalığıdır. Hastalık tekrarlayan nefes darlığı, nefes alıp verirken ortaya çıkan hırıltı/hışıltı/ıslık sesi, göğüste baskı hissi ve öksürük gibi belirtilerle kendini gösterir. Dünyada yaklaşık 300 milyon kadar astımlı hasta olduğu tahmin edilmektedir. Ülkemizde ise yaklaşık her 12-13 erişkinden biri ve 7-8 çocuktan biri astım hastasıdır. Astımın görülme sıklığı yıllar içinde giderek artmaktadır[4]. Bunun yanında astım tanısının %30 oranında yanlış konulup tedavi edildiğini gösteren güçlü kanıtlar vardır. Aşırı teşhis, gereksiz tedaviye ve alternatif bir tanı koymada gecikmeye yol açar. Yetersiz tanı, günlük semptomların, (potansiyel olarak ciddi) alevlenmelerin ve uzun vadede hava yolu yeniden şekillenmesinin riskini artırır[5].
GUATRIN TRAKEA BASI YAPMASI HASTADA ASTIM OLMADIĞI ANLAMINA GELİR Mİ?
19 yaşında kuru öksürük, stridor ve kuru öksürük şikayetleri ile göğüs hastalıkları polikliniğe başvuran kadın hastanın guatr sebebiyle 3,5 yıldır levotiroksin 25 mcg kullandığı, 8 aydır ötiroid nedenli 8 aydır ilaç kullanmadığı öğrenildi. Bebeklik döneminde akciğer kist operasyonu olduğu öğrenildi. 1 sene önce elektronik sigara içmeye başlayıp 6 ay kullandıktan sonra bırakmış. Alerji öyküsü yok. Ailede astım ve guatr mevcut. Fizik muayenede boğaz bakısı normal, boyun bakısında 1b guatr görüldü, oskültasyonda ronküs mevcuttu.
PA AC grafi, SFT ve kan testleri istendi. Solunum fonksiyon testinde FEV1/FVC %83, FEV1 %85, PEF %41, inspirasyon ve ekspirasyon eğrisi fix üst havayolu darlığı düşündürdü (Resim 1)

Resim 1: Fix üst havayolu darlığı düşündürüyor.
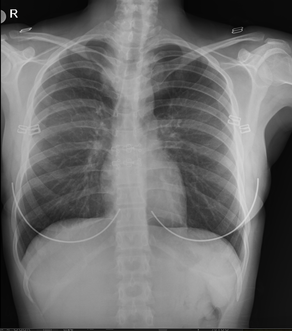
Postroanterior akciğer grafisi 1 yıl önceki akciğer grafisi ile karşılaştırıldığında sağ üst mediastende genişleme görüldü (resim 2)
| 17.11.2023 | 21.11.2024 |
![]() | ![]() |
Resim 2: 2024 yılında çekilen akciğer grafisinde 1 yıl önce çekilen grafide görülmeyen sağ üst mediastende genişleme.
Kan tetkiklerinde TSH 0.84, FT3 3.27, FT4 1.44, CRP 0.8, WBC 6.53, HGB 12.4, EOS 80
Bu bulgular ışığında hastadan tiroid ultrasonu, kontrastlı toraks bilgisayarlı tomografisi ve genel cerrahi konsültasyonu istendi.
Tiroid ultrasonu: Tiroid bezi boyutları; sol lob 24x30x43 mm, sağ lob 25x27x43 mm ve isthmus 8,5 mm olup, bez boyutları artmıştır. Tiroid bez parankim ekojenitesi heterojendir. Tiroid bezi sağ lobda büyüğü 20×21 mm boyutunda düzgün sınırlı hafif lobüle konturlu izo-hiperekoik solid nodüller izlendi. Tiroid bezi sağ lob istmus bileşkesinde 30×13 mm boyutunda içerisinde 9 mm çapında izoekoik kistik dejenere alanlar barındıran solid komponenti bulunan kistik nodül izlendi. Tiroid bezi sol lobda büyüğü 30×20 mm boyutunda içerisinde izoekoik solid kompanentleri ve kistik dejenere alanları bulunan birkaç adet izoekoik solid nodüller izlendi (MNG ? ). Hastaya takip USG önerilir.
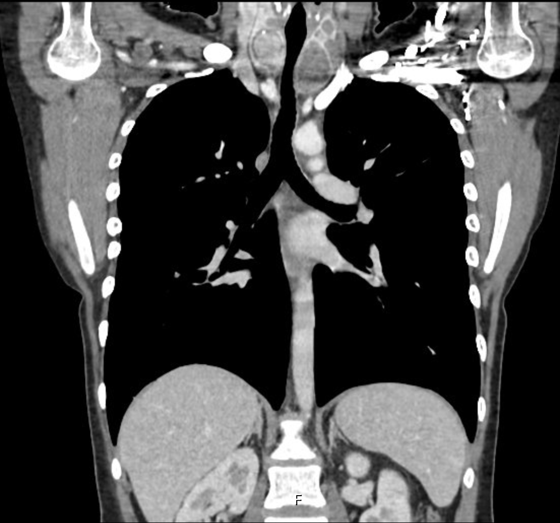
Kontrastlı toraks bilgisayarlı tomografi sonucu: Her iki tiroid lobunda en büyükleri sağda 12 mm ,solda 20 mm çapında hipodens nodüller mevcuttur. Soldaki nodüller toraksa da uzanım göstermektedir(Resim 3). Sağ akciğer alt lobda plevraya yakın yerleşimli multi septalı ince duvarlı hava kistleri mevcuttur(Resim 4). Kliniği ile beraber değerlendirilmesi önerilir.
![]() |
Resim 3: Kontrastlı toraks bilgisayarlı tomografi

Resim 4: Bebeklik kist operasyonu
Genel cerrahi konsültasyonu sonucu hasta yaşının genç ve ötiroid olması sebebiyle takibe alındığı öğrenildi. Hastaya ilk muayene sonucu yazılan beklametazon+formoterol inhaler kullanımı sonrası hasta şikayetlerinde gerileme olduğu görüldü. Hasta 3 aylık takip periyoduna alındı.
GUATR VE ASTIM TAKİBİ AYNI ANDA OLABİLİR Mİ?
Substernal guatr astımı taklit ettiği bilinmekle beraber tiroidin trakeada aşırı darlık oluşturmadığı hastalarda aynı zamanda astım olmayacağı anlamına da gelmemektedir. Hastanın inhale kortikosteroid kullanımı sonrası rahatlaması hastanın hem astım hem guatr sebebiyle göğüs hastalıkları ve genel cerrahi tarafından takibi en doğru yaklaşım olarak düşünüldü.
Retrosternal/intratorasik guatr büyük boyutlara ulaştığında trakea basısı nedeniyle solunum sıkıntısı, özefagus basısı nedeniyle yutma güçlüğü ve vasküler yapılara bası nedeniyle venöz dolgunluk bulguları ortaya çıkarabilir. Tiroid içi kanama veya kistik dejenerasyona sekonder ani büyüme sonucu solunum yetmezliği ortaya çıkararak nadir de olsa hayatı tehdit edici olabiliyor[3]. Genel Cerrahi takibine de alınan hastaya doğru zamanda cerrahi müdahale yapılacağı bilindiğinden göğüs hastalıkları takibinde semptomatik tedavinin uygunluğu ve hasta uyumu izlenecektir.
ASTIMI TAKLİT EDEBİLEN GUATR TAKİBİ NASIL OLUR?
SFT akım-volüm eğrisinde fix darlık görüldüğünde ve üst havayolu darlıkları astımı taklit edebildiğinden aşırı tanı ve tedaviden kaçınmak için ilgili branş ile konsülte edilmesi ve multidisipliner yaklaşımla hasta takibine başlanması hasta yaşam kalitesi, erken tanı ve müdahale için çok önemlidir.
- Haller A. Disputationes anatomica selectae. Gottingen: Vandenhoeck. 1749:96.
- Allo MD, Thompson NW. Rationale for the operative management of substernal goiters. Surgery 1983;94:969-977.
- Ben Nun A, Soudack M, Best LA. Retrosternal thyroid goiter: 15 years experience. Isr Med Assoc J. 2006;8(2):106-109.
- https://hsgm.saglik.gov.tr/tr/kronik-hava-yolu-hastaliklari/astim.html
- Over- and under-diagnosis in asthma, Breathe (Sheff). 2019 Mar;15(1):e20–e27. doi: 10.1183/20734735.0362-2018



